Trabzon'da, "kapalı kunduracı göğsü ameliyatı" olan hasta sağlığına kavuştu

Trabzon'da, "kapalı kunduracı göğsü ameliyatı" olan hasta sağlığına kavuştu

Trabzon'da, halk arasında "kunduracı göğsü" olarak bilinen Pektus Ekscavatum hastalığı ile mücadele eden Hamza Suiçmez, 2 saat süren ameliyatın...

TRABZON (AA) - Trabzon'da, halk arasında "kunduracı göğsü" olarak bilinen Pektus Ekscavatum hastalığı ile mücadele eden Hamza Suiçmez, 2 saat süren ameliyatın ardından sağlığına kavuştu.

Karadeniz Teknik Üniversitesi (KTÜ) Farabi Hastanesinden yapılan açıklamaya göre, erken yorulma, çarpıntı, göğüs duvarında şekil bozukluğu ve şekil bozukluğu kaynaklı psikolojik olarak kendini sosyal çevresinden kısıtlama şikayetleri bulunan 26 yaşındaki Hamza Suiçmez, hastaneye müracaat etti.

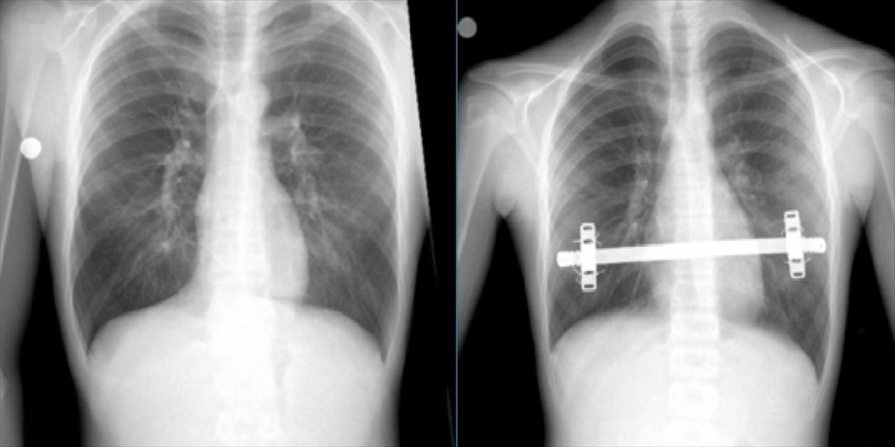
Suiçmez'e, yapılan tetkikler neticesinde halk arasında "kunduracı göğsü" olarak da bilinen Pektus Ekscavatum hastalığı tanısı konuldu.

Erken yorulma ve çarpıntı şikayetlerinin, içeri doğru basık olan iman tahtasının kalp üzerine baskı yapmasından kaynaklandığı anlaşılan hasta, KTÜ Farabi Hastanesi Başhekimi ve Göğüs Cerrahisi Anabilim Dalı Başkanı Prof. Dr. Celal Tekinbaş ve ekibi tarafından ameliyat edildi.

"Kapalı kunduracı göğsü ameliyatı (NUSS)" uygulanmasının ardından sağlığına kavuşan Suiçmez, şikayetlerinin artık olmadığını ve en önemlisi de kendisini daha özgüvenli ve sosyal hissettiğini belirtti.

Prof. Dr. Celal Tekinbaş ise "kunduracı göğsü" olarak da bilinen hastalığın göğüs duvarı deformitesi olduğuna dikkati çekerek, hastalığın belirtileri, nedenleri, teşhisi ve tedavisine ilişkin bilgi aktardı.

Kaynak:Haber Kaynağı

Etiketler :
HABERE YORUM KAT
UYARI: Küfür, hakaret, rencide edici cümleler veya imalar, inançlara saldırı içeren, imla kuralları ile yazılmamış,
Türkçe karakter kullanılmayan ve büyük harflerle yazılmış yorumlar onaylanmamaktadır.